Dr. Guy CRAHAY, Diplomé de la faculté de chirurgie dentaire de Nancy
Dr. Guy-Olivier CRAHAY, Diplomé de la faculté de chirurgie dentaire de Nancy
Dr. Alain LOUVEL, Diplomé de la faculté de chirurgie dentaire de Nancy
Dr. Roxane VALLEE, Diplomée de la faculté dentaire de Reims
4, rue saint pierre
55100 Verdun
Tél. : 0329860255
Recherche
par mot-clés

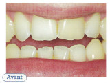
L'expertise des chirurgiiens-dentistes en matière de blanchiment permet de traiter la quasi-totalité des cas de figure avec un résultat tel que montré sur les photos ci-contre.
Il existe de nombreux procédés pour influencer la teinte de votre émail, votre chirurgien-dentiste saura faire le bon diagnostic et vous proposer le procédé adapté à votre cas personnel:au cabinet ou chez vous, suivant la spécificité de votre bouche.